Fermeture des diastèmes antérieurs en technique directe avec Filtek™ Easy Match

Fév 2026

Dr. Bilal BALBZIOUI

La fermeture des diastèmes antérieurs par composite direct constitue une solution additive, peu invasive et parfaitement adaptée aux exigences actuelles de la dentisterie esthétique [1,2]. Cette indication nécessite toutefois une maîtrise rigoureuse des volumes proximaux, des profils d’émergence et de l’intégration optique du biomatériau. L’utilisation d’un composite simplifié comme Filtek Easy Match (Solventum) permet d’aborder cette technique de manière rationnelle et reproductible. Son concept de teintes universelles repose sur une capacité d’adaptation chromatique permettant une intégration harmonieuse dans l’environnement dentaire, tout en simplifiant le choix de teinte et en limitant le recours à des stratifications complexes, principe décrit dans la littérature concernant les composites dits “universels” [3,4]. Plusieurs paramètres conditionnent la réussite du traitement : une analyse esthétique préalable (proportions, axes, dynamique du sourire) [5], un isolement strict par digue, un protocole adhésif rigoureux (mordançage sélectif de l’émail) dont la supériorité sur l’émail est bien documentée [6], et un contrôle précis du modelage proximal à l’aide de matrices fines prégalbées. La gestion des embrasures est essentielle afin de préserver l’équilibre avec la papille et d’éviter un effet de dents trop carrées [7]. La mise en place par incréments successifs permet de contrôler progressivement les volumes et de limiter les contraintes de polymérisation [8]. Enfin, une séquence de finition et de polissage méticuleuse conditionne l’intégration optique finale, la stabilité de la teinte et la résistance à l’altération de surface à long terme [9]. Ainsi, le respect du protocole, associé à un matériau adapté, permet d’obtenir une fermeture de diastème harmonieuse, biomimétique et durable.

Références bibliographiques 1. Dietschi D. Free-hand composite resin restorations: a key to anterior aesthetics. Pract Proced Aesthet Dent. 2006. 2. Loomans BAC, Opdam NJM. A guide to anterior composite restorations. J Adhes Dent. 2018. 3. Paravina RD et al. Color adjustment potential of resin composites. J Esthet Restor Dent. 2018. 4. Pereira Sanchez N et al. Optical behavior and color adjustment of single-shade composites. Dent Mater. 2019. 5. Magne P, Belser U. Bonded porcelain restorations in the anterior dentition: biomimetic approach. Quintessence Publishing. 2002. 6. Perdigão J, Loguercio AD. Universal or multi-mode adhesives: why and how? J Adhes Dent. 2014. 7. Chu SJ, Tan JH, Stappert CFJ, Tarnow DP. Gingival zenith positions and levels of the maxillary anterior dentition. J Esthet Restor Dent. 2009. 8. Ferracane JL. Resin composite—state of the art. Dent Mater. 2011. 9. Heintze SD, Rousson V. Clinical effectiveness of direct anterior restorations. Dent Mater. 2012.

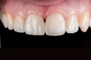
Fig 1.

Vue préopératoire, l’enjeu est de trouver un équilibre dans l’augmentation de la largeur des incisives centrales.

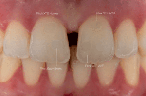
Fig 2.

Choix de la masse de composite à l’aide d’une photographie en cross polymérisation. On choisit ici la masse Filtek Easy Match Natural.

Fig 3

Isolation simple à l’aide d’une digue medium et de widgets.

Fig 4

Mordançage amélaire après un nettoyage de la surface aux ultrasons.

Fig 5

Utilisation d’une matrice prégalbée, cela favorise une émergence guidée par la forme de la dent.

Fig 6

Contrôle de la position de la ligne médiane avant de finir la réalisation des composites.

Fig 7

Vue avant polissage et brillantage final.

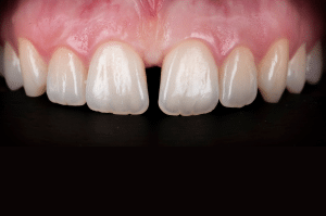
Fig 8

Vue post op à 3 semaines.