Gestion des effractions pulpaires

Juin 2015

Dr. Gauthier WEISROCK

Fig 1.

Echec de temporisation à l’IRM avec persistance de douleurs non spontanées exacerbées au froid.

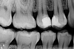
Fig 2.

L’analyse radiologique nous montre une proximité pulpaire des restaurations provisoires, surtout au niveau de la 15.

Fig 3

Après dépose des restaurations provisoires sous champ opératoire, une effraction pulpaire est mise en évidence.

Fig 4.

Le saignement pulpaire étant contrôlé, la cavité est désinfectée à l’aide d’une boulette de coton légèrement imprégnée d’hypochlorite.

Fig 5.

Du Biodentine est déposé sur l’effraction et légèrement « foulé ». Une attente de 8 à 10 min est nécessaire pour la prise complète du matériau. Les limites amélaires de la cavité sont préservées pour assurer une bonne étanchéité de la future restauration.

Fig 6.

Un composite direct est réalisé sur la 14 puis sur la 15. Un protocole d’adhésion standard est effectué sur le Biodentine.

Fig 7.

Résultat à 18 mois. La vitalité pulpaire est préservée et l’intégration esthétique des restaurations réussie.

Fig 8.

Une rétraction pulpaire avec la formation d’un pont dentinaire dû à la biocompatibilité du Biodentine est visible sur la 15 par comparaison avec la 14.