Dr. Ralph BOUTROS

Fig 1.
Nous voici avec un patient venu en urgence suite à la fracture de son ancien composite sur la 14, dent dévitalisée. Ces restaurations sont souvent situées juxta-gingivalement, voire légèrement sous-gingivalement. Il est donc indispensable de les retirer de manière contrôlée, afin de permettre la réalisation d’une restauration indirecte fiable par la suite.

Fig 2.
De manière progressive, on commence par la mise en place de la digue. Un wedjet est positionné au niveau de la latérale afin de stabiliser la digue et d’éviter qu’elle ne remonte sur le rebord mésial. Cela améliore la visibilité et permet d’aborder sereinement la préparation.

Fig 3
Le crampon est positionné sur la 15, ce qui permet de dégager l’espace opératoire et de laisser un accès suffisant pour les instruments. Une ligature est ensuite réalisée autour de la dent concernée et attachée au rebord du cadre de digue. Cette traction permet de plaquer la digue au niveau cervical, d’empêcher toute remontée intempestive de la digue dans la zone de travail, d’éviter que la fraise n’accroche la digue lors de l’utilisation de rotatifs et enfin d’améliorer l’étanchéité du champ opératoire.

Fig 4
Une fois l’ancienne restauration et la lésion carieuse retirées, une matrice Automatrix est mise en place. Son système de serrage se verrouille autour de la dent, assurant une bonne adaptation marginale. L’ajout de deux coins issus du système Palodent V3 permet de plaquer la matrice contre la dent, d’épouser la morphologie cervicale résiduelle, et d’éviter les débordements de matériau. Pour garantir la stabilité des coins, ils sont préalablement enveloppés de téflon, ce qui empêche tout déplacement une fois en place. Une alternative aurait été l’utilisation de digue liquide dans cette zone cervicale.

Fig 5
Une fois la préparation du logement du tenon réalisée, la sableuse est utilisée pour nettoyer les parois, créer une micro-rugosité et optimiser la surface de collage. Cette étape améliore considérablement l’adhésion du système de reconstitution radiculaire.

Fig 6
Un tenon fibré est ensuite mis en place, adapté à la quantité de parois résiduelles. Etant donné qu’il s’agit ici d’une prémolaire maxillaire bi-radiculaire, le choix d’un composite injectable dual assure une polymérisation optimale même en profondeur.

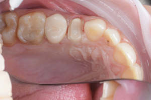
Fig 7
Nous voici avec une préparation terminée et prête à recevoir une couronne. La mise en place d’une digue allant jusqu’au sous-gingival a été indispensable pour obtenir une visibilité parfaite, des limites cervicales nettes et une absence de contamination. Cette rigueur d’isolation conditionne la réussite du futur collage.

Fig 8
Le collage de la couronne sera réalisé sous les mêmes conditions opératoires que la préparation. Ces paramètres garantissent la qualité du scellement et la pérennité de la restauration.