Dr. Jean-Christophe PARIS

Fig 1.
M. G-L désire un traitement esthétique de son sourire, en refusant la proposition initiale de traitement orthodontique qui pourrait amener une solution à ses diastèmes et aux axes très palatoversés des secteurs latéraux. Il trouve ses dents usées et plates et veut une solution durable, rapide et fiable.

Fig 2.
Une étude au travers du Guide Esthétique© et sa matérialisation par un wax-up permet de communiquer avec le patient sur ce que sera son sourire après un traitement par facettes et couronnes (12).

Fig 3
La prévisualisation grandeur nature par des masques, permet à l’équipe soignante et au patient de valider son futur sourire.

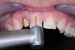
Fig 4.
Afin d’éviter le plus possible des préparations dentinaires et d’économiser le plus possible l’organe dentaire, les dents sont préparées dans les masques.

Fig 5.
Après vérification par les guides de préparation siliconés, une seconde « coulée » de résine est plaquée sur les dents, puis retirée délicatement.

Fig 6.
La mesure du compas d’Iwanson permet de noter les manques d’épaisseur des futures restaurations.

Fig 7.
Les zones à repréparer sont notées au crayon.

Fig 8.
Puis retravaillées jusqu’à obtenir 0.6mm.

Fig 9.
Empreinte : on peut comparer l’économie de tissu que représente une facette par rapport à une couronne (12).

Fig 9.
Facettes temporaires en place toujours à partir du guide siliconé.

Fig 10.
Définitives : le patient, l’équipe soignante et le laboratoire de céramique n’ont aucune surprise sur le résultat. La qualité de la céramique (Ivoclar-Vivadent) et le talent du céramiste ont sublimé le résultat.
Laboratoire : Christophe Hue (Paris)