Dr. Jean-Christophe PARIS

Fig 1.
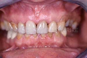
Mme F. se présente à la consultation dans un désir de réhabiliter son sourire et sa fonction. Elle présente une supraclusion et des courbes de Spee perturbées. Une étude occlusale en technique Neuro-Musculaire nous permet de diagnostiquer un problème occlusal sans bruxisme malgré les usures.

Fig 2.
Une augmentation de DV et un repositionnement myocentré de la mandibule nous imposent une rééducation par gouttières pour valider les hypothèses de position. Ensuite, les dents temporaires de seconde génération et les masques viennent confirmer pendant quelques semaines le choix initial.Les empreintes et la reconstruction commencent par les secteurs postérieurs afin de ne pas perdre les repères.

Fig 3
Des composants prothétiques vissés aux piliers implantaires et solidarisés avec de la résine Luxatemp™ (Pred DMG™) sur un berceau constitué d’un élastique ortho permettent de solidariser et rigidifier. Les élastiques ortho de piliers à piliers et entrecroisés en 8, sont un support rapide et efficace pour la résine.

Fig 4.
Du téflon est bourré dans les orifices pour en éviter l’obturation. Les piliers sont réglés en hauteur pour ne pas interférer lors de l’enregistrement occlusal.
Un mordu occlusal est réalisé en résine Luxatemp™ ( DMG- PRED™ ), par injection en position plutôt que par mordu sur la résine précédente. Plusieurs étapes peuvent être nécessaires.

Fig 5.
A ce stade , une fois désinséré délicatement, il est important de retoucher l’enregistrement en résine à la fraise pour le faire coïncider en bouche facilement par élimination des contre dépouilles.
Un repositionnement in situ,est recommandé afin d’être certain qu’il n’existe plus d’entraves et donc de le transmettre au laboratoire sans contraintes.

Fig 6.
Le montage sur articulateur Artex™ ( Amman-Giirbach™) au laboratoire du modèle supérieur est classique avec le transfert de la table de montage.

Fig 7.
Le laboratoire repositionne le mordu rigide sur le modèle de travail inférieur, avec son habituelle fausse gencive. Le travail de dégrossisage du mordu au cabinet donne la certitude au céramiste de la position. Un travail de préparation du modèle est souvent nécessaire jusqu’à obtention du bon engrènement.

Fig 8.
L’ensemble est ensuite adapté au mordu.
Ce système additionnant la rigidité des piliers et la résine de mordu, certes onéreux ( piliers prothétiques provisoires vissables ) permet de gagner une séance et une précision intéressante du travail final.
Laboratoire Smile 3D Concept Lionel Marslen