Nomade

Composites injectés : maîtriser la technique de l’injection de composite fluide (Avignon)

Formateur(s) : Dr. Guillaume PISKORSKI
Durée : 2 jours (16 heures)
Horaires : 8h30 – 17h30
Format : Présentiel
Lieu : Avignon
Tarif initial : 2 400 €

0,00 

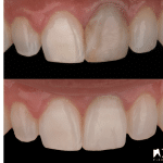
Gagnez du temps dans les traitements de diastèmes multiples, de
fractures étendues, d’altération de forme ou d’usure généralisée !

Objectifs pédagogiques
  • Reconnaître les indications des restaurations par injection de composite fluide
  • Maîtriser les critères de l’analyse esthétique
  • Maîtriser l’utilisation d’un wax-up numérique
  • Maîtriser l’isolation préalable à une injection de résine composite fluide
  • Identifier la technique de l’injection et ses variantes (stratification, pigmentation, double injection)
  • Maîtriser les étapes de finition et de polissage

Jour 1 durée 8h

  • De l’analyse esthétique au Wax-up
  • Relevé de couleur : compréhension et application
  • Les techniques d’injection
  • TP : Réalisation du composite injecté sous ses différentes formes
    • Injection Monolithique
    • Double Injection

 

Jour 2 • durée 8h

  • Réhabilitation globale et stratégie de traitement
  • Polissage et texture
  • Réalisation des clés en silicone
  • TP : Réalisation du composite injecté sous ses différentes formes
    • Stratification
    • Maquillage
    • Polissage

Pré-requis : Doctorat en chirurgie dentaire (ou praticiens en cours de doctorat ayant validé leur CSCT ou équivalent européen)
Public concerné : Omnipraticiens, praticiens spécialistes
Modalités et délais d’accès : L’inscription est considérée définitive après validation des prérequis et des besoins en formation, de la signature de la convention et du règlement des droits d’inscriptions. Les demandes d’inscription peuvent être envoyées jusqu’à 1 jour ouvré avant le début de la formation en fonction des places disponibles
Accessibilité : Nous sommes particulièrement sensibles à l’intégration des personnes en situation de Handicap. Contactez-nous afin d’étudier les possibilités de compensation disponibles à l’adresse : marion.galavielle@academie-du-sourire.com
Modalités d’évaluation : Des QCM sont proposés au début et à la fin du parcours. Lors des TP et TD l’instructeur vérifie l’évaluation des acquis
Moyens pédagogiques : Matériel vidéo (écran géant, enceintes …). Supports de cours. Matériels en TP (poste de travail avec modèles pédagogiques)

Lieu de la formation : COWOOL 25 Avenue Mazarin 84000 AVIGNON

Les journées de formation ont lieu de 8h30 à 12h30 et de 13h30 à 17h30, avec un accueil des participants dès 8h.
Le repas et les collations sont compris dans le tarif de formation.

Des questions ? N’hésitez pas à consulter notre F.A.Q.

Dr. Guillaume PISKORSKI

Docteur en Chirurgie dentaire
Master 1 Recherche biologie santé, biomatériaux, faculté de médecine, université Lille (2018)
DU d’Esthétique de Strasbourg (2022)
3ème place prix concours « Dentisterie Esthétique » Réalités Cliniques (2022)

Demande de devis pour la prise en charge OPCO