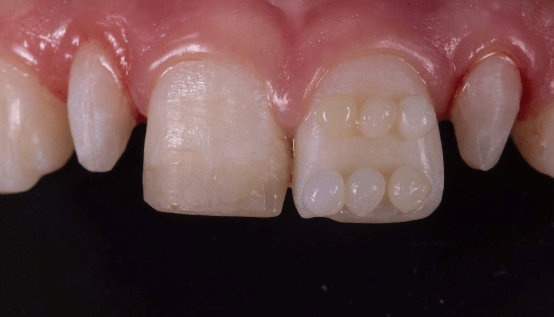
Astuces du mois - Fév 2023 Préparation d’un overlay sur une dent fêlée : utilité de fraises adaptées Lire plus