Réfléchir avant d’agir, l’importance du projet thérapeutique

Mai 2021

Dr. Grégory CAMALEONTE

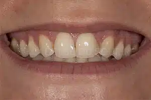
Fig 1.

Une patiente consulte pour améliorer son sourire et remplacer les résines composites sur ses dents antérieures.

Fig 2.

L’examen clinique et photographique met en évidence l’absence des incisives latérales. La composition dentaire est perturbée et les proportions dentaires sont à revoir. Un wax-up est commandé au laboratoire pour rétablir une symétrie, une harmonie des formes et des proportions des dents.

Fig 3

Le wax-up de laboratoire montre une correction de la composition dentaire et sera essayé en bouche à l’aide d’une clé en silicone.

Fig 4.

L’essayage en bouche du mock-up est une étape indispensable et permet d’obtenir la validation du projet thérapeutique par la patiente. Il est alors décidé de restaurer le sourire à l’aide de nouvelles résines composites après avoir déposé les anciennes.

Fig 5.

La technique des boutons d’essai est utilisée pour choisir la couleur des masses de composite dentine et émail nécessaire à la restauration. Il s’agit de déposer à la surface de la dent des résines composites, de les photopolymériser et de choisir celles qui conviennent le mieux.

Fig 6.

Le champ opératoire est installé et est obligatoire pour la confection de restaurations adhésives. L’utilisation d’une clé en silicone fabriquée à partir du wax-up validé permet une apposition guidée des résines composites.

Fig 7.

Résultat post-opératoire directement après le retrait du champ opératoire et avant les étapes de dégrossissage, finitions et polissage.

Fig 8.

Le résultat post-opératoire à 1 mois montre des restaurations intégrées, une composition dentaire corrigée et un sourire retrouvé.