Elimination des excès de ciment temporaire

Oct 2025

Dr. Jean RICHELME

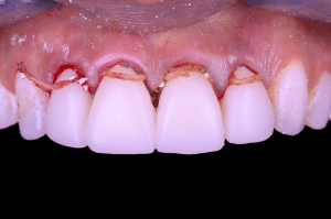
Fig 1.

Particulièrement en fin de séance de prise d’empreinte, et d’une façon plus générale, l’élimination du ciment temporaire en excès après le scellement de couronnes provisoires solidarisées ou d’un bridge est un enjeu capital. En effet, la cicatrisation parodontale sera directement influencée par le retrait de tout le ciment débordant.

Fig 2.

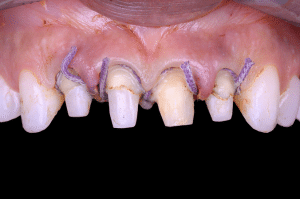
Avant de procéder au scellement des éléments provisoires, des brins de fils interdentaire sont noués autour de chaque embrasure, par un nœud simple.

Fig 3

Les couronnes transitoires sont ainsi scellées à l’aide de Temp-Bond de Kerr, que l’on laisse complètement durcir.

Fig 4

Dans un premier temps, les excès de ciment sont très facilement éliminés avec un insert à ultrasons fin. Mais les embrasures, malgré la finesse de l’insert restent difficilement accessibles. Quant aux espaces sous gingivaux qui ont été ouverts pour l’empreinte ne peuvent être atteints qu’à l’aveugle.

Fig 5

Les fils interdentaires sont, dans un second temps, dénoués l’un après l’autre et par un léger va-et-vient permettent d’éliminer tout le ciment résiduel coincé dans les embrasures même les plus fines. Nous procédons ainsi pour chacun des fils.

Fig 6

Le ciment en excès qui a durci dans les embrasures et autour du fil de soie s’élimine très facilement et l’on voit apparaître des résidus de Temp-Bond alors que l’embrasure nous semblait cliniquement propre.

Fig 7

Dans un troisième temps, le second fil d’éviction gingival est retiré, permettant l’élimination de tous les résidus de ciment intra-sulculaire. Là encore, alors que la situation clinique nous paraissait propre, des excès de ciment sortent encore avec les fils.

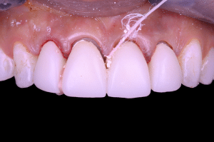
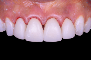
Fig 8

Situation clinique en fin de séance d’empreinte avec double fil d’éviction gingivale et élimination de toute trace de ciment en excès.

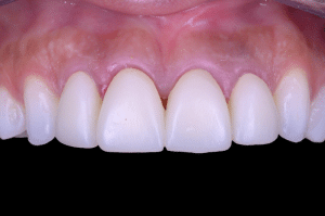
Fig 9

Réponse parodontale à seulement 8 jours post opératoire. L’élimination de tout le ciment en excès à permis une rapide cicatrisation parodontale.

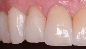
Fig 10

Aspect clinique le jour de la mise en place des prothèses d’usage individuelles.

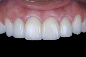
Fig 11

Sourire de la patiente en fin de réhabilitation.