Elimination du ciment dans les embrasures lors du scellement

Mar 2026

Dr. Olivier ETIENNE

Fig 1.

Lors du scellement des bridges et particulièrement lorsque l’armature est en zircone : la solidité des ciments ou colle utilisées rend difficile l’élimination des excès dans les embrasures.

Fig 2.

Vue de l’intrados du bridge antérieur, confectionné pour une patiente âgée dont les embrasures ont été particulièrement fermées.

Fig 3

Avant de procéder au scellement du bridge et après le traitement de son état de surface, des brins de fil interdentaire en téflon (PTFE) sont entourés autour de chaque embrasure, afin de les combler de téflon.

Fig 4

Le fil en PTFE utilisé est le fil téflon Easy Floss de GUM.

Fig 5

Situation clinique avant le scellement.

Fig 6

Mise en place du bridge avec les fils en téflon et le ciment de scellement définitif que l’on va pouvoir laisser totalement durcir dans craindre des difficultés d’élimination des excès.

Fig 7

Une fois le ciment durci, dans un premier temps les excès de ciment vestibulaires et palatins sont facilement éliminés à l’aide d’un CK6.

Fig 8

Ensuite, à l’aide de ce même CK6, les brins de fil sont étirés de chaque embrasure pour pouvoir laisser passer l’extrémité d’une paire de ciseaux.

Fig 9

A l’aide de ciseaux, les fils de téflon sont sectionnés tour à tour.

Fig 10

Avec une précelle, chaque groupe de brins de téflon est ensuite tiré et sorti des embrasures.

Fig 11

Les propriétés physiques du téflon, sur lequel rien n’adhère vraiment, permettent de facilement tracter ce dernier hors des embrasures, laissant ces dernières parfaitement propres.

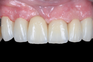
Fig 12

Vue clinique en fin de séance de scellement, tout le ciment a parfaitement été éliminé, facilement après son durcissement complet et sans traumatiser le parodont.