Utilisation d’un instrument de préhension lors de pose de couronne

Nov 2019

Dr. Jean-Christophe PARIS

Fig 1.

Mme P se présente à la consultation avec des doléances esthétiques et fonctionnelles.
Une réhabilitation de son sourire et de sa fonction est entreprise. Après une rééducation fonctionnelle en technique Neuro-Musculaire, par une technique d’orthèses, de temporaires et mockups, les empreintes sont réalisées.

Fig 2.

Sur les dents antérieures où les anciennes couronnes ont été remplacées, la technique de collage est délicate du fait de la position sous gingivale des limites imposée par les dyschromies importantes du support. Le champ opératoire étant impossible à positionner nous préférons choisir une technique de scellement -collage. Un cordonnet de rétraction est mis en place, permettant d’écarter la gencive et de remonter les excès de ciment.

Fig 3

Le fait de travailler sans champ opératoire rend la technique de scellement délicate et l’utilisation d’une précelle de préhension ( Pince Gekko® WAM®) permet de manipuler la couronne sans risques de glissement et de chute intempestifs.

Fig 4.

Le traitement de la pièce prothétique ( Emax ©Ivoclar-Vivadent ®) est réalisé en toute sécurité avec le protocole de scellement-collage ( Multilink Automix®Ivoclar-Vivadent ®).

Fig 5.

La dent est préparée suivant le même protocole ( sablage délicat, primer) et la pièce est amenée chargée de la pâte d’assemblage.

Fig 6.

Après la mise en place , une photopolymérisation de quelque secondes permet de figer la pâte d’assemblage. Les excès sont retirés avec un CK6, en prenant garde de ne pas tirer verticalement pour éviter une fragilisation du processus de prise. La photopolymérisation terminale peut reprendre pour finir l’amorçage de la prise duale.

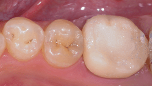
Fig 7.

Le passage d’un fil épais ( SuperFloss® Oral B®) permet de contrôler que tout le ciment a été retiré.

Le processus de collage se fait un dent sur deux, permettant ainsi un ajustage plus précis des points de contact et des tensions entre les dents.

Fig 8.

La réalisation terminée montre un mélange de facettes, veneerlays et couronnes assemblés soit en collage quand le champ opératoire est possible soit en scellement-collage quand celui ci est impossible.

L’ensemble montre un traitement harmonieux de réhabilitation esthétique et fonctionnelle.

( Laboratoire Stevie Pasquier ).