Modification de canines en position des latérales

Mai 2024

Dr. Jean RICHELME

Fig 1.

Patiente se présentant en consultation pour améliorer l’esthétique de son sourire. Elle présente une fluorose modérée, 2 agénésies des 12 et 22 avec la mise en place des canines en position des latérales manquantes et 2 prothèses sur implant en situation de canines.

Fig 2.

L’amélioration de cette fluorose va se faire par un simple traitement d’éclaircissement, limité par les maquillages déjà présents sur les prothèses implantaires ( « 13 » et «  23 » ).

Fig 3

Après une analyse esthétique sur le logiciel EASY version courte, les consignes sont données au laboratoire de prothèse pour transformer la morphologie des 13 et 23 naturelles, en incisives latérales ( laboratoire Fabio Lévratto Monaco).  

Fig 4.

Une clef en silicone translucide est confectionnée sur ces wax up. Pour une parfaite précision, cette clef est « armée » : elle est recouverte d’une gouttière thermoformée très rigide amovible qui permet à chaque insertion de la clef seule de venir rigidifier cette dernière dans la bonne position sans se déformer.
Du composite flow de la bonne chromaticité est introduit dans la clef avant d’être insérée sur les dents de la patiente puis polymérisé sur place.

Fig 5.

Ici le résultat de cette duplication en composite flow G-ænial Universal Injectable de chez GC, polymérisé au travers de la clef en silicone armée.

Fig 6.

Lors de cette étape de duplication nous avons pris soin de ne pas préparer l’état de surface amélaire afin de pouvoir retirer délicatement les apports de composite à l’aide d’un instrument de type CK6.

Fig 7.

Les 2 adjonctions pelliculaires de composite une fois retirées peuvent au besoin légèrement ébarbées, cette manœuvre étant beaucoup précise et aisée en dehors de la cavité buccale.

Fig 8.

La mise en place d’un champ opératoire est maintenant possible très facilement (sans interférer avec une quelconque clef de duplication ou d’injection qui n’est plus nécessaire).
Après une préparation de l’état de surface dentaire à l’identique de la pose d’une facette les chips de composite peuvent être collés.
Particularités : l’intrados des chips est préalablement sablé pour activer une surface de collage efficace, et le bonding n’est pas polymérisé avant la pose du chips en composite sur l’émail par risque de sur-épaisseur du fait de son ajustage très précis.

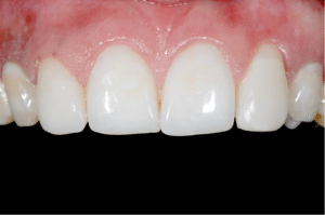
Fig 9.

Situation finale, juste après la dépose de la digue.

Le composite utilisé pour le collage est le même que celui qui a servi à confectionner les chips. Les excès sont éliminés avec une « microbrush » ou un pinceau avant la polymérisation les joints étant inexistants. La qualité de surface du silicone permet de réduire l’étape de polissage à sa plus simple expression. (Durée totale de l’intervention 40 minutes)