01 juin 2026
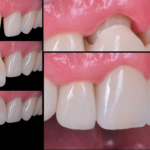
Composites injectés : l’esthétique à la portée de tous
avec le Dr. Romain CEINOSEsthétique - Omnipratique
0,00 €
Matinée • durée 4h
Après-midi • durée 4h
Pré-requis : Doctorat en chirurgie dentaire (ou praticiens en cours de doctorat ayant validé leur CSCT ou équivalent européen)
Public concerné : Omnipraticiens, praticiens spécialistes
Modalités et délais d’accès : L’inscription est considérée définitive après validation des prérequis et des besoins en formation, de la signature de la convention et du règlement des droits d’inscriptions. Les demandes d’inscription peuvent être envoyées jusqu’à 1 jour ouvré avant le début de la formation en fonction des places disponibles
Accessibilité : Nous sommes particulièrement sensibles à l’intégration des personnes en situation de Handicap. Contactez-nous afin d’étudier les possibilités de compensation disponibles à l’adresse : marion.galavielle@academie-du-sourire.com
Modalités d’évaluation : Des QCM sont proposés au début et à la fin du parcours. Lors des TP et TD l’instructeur vérifie l’évaluation des acquis
Moyens pédagogiques : Matériel vidéo (écran géant, enceintes …). Supports de cours. Matériels en TP (poste de travail avec modèles pédagogiques)
Lieu de la formation : 9 avenue Henri Malacrida, 13100 Aix-en-Provence
Les journées de formation ont lieu de 8h30 à 12h30 et de 13h30 à 17h30, avec un accueil des participants dès 8h.
Le repas et les collations sont compris dans le tarif de formation.
Des solutions d’hébergement vous seront proposées pour organiser votre séjour dans notre belle région.
Des questions ? N’hésitez pas à consulter notre F.A.Q.
01 juin 2026

Le 02 juin 2026
03 juin 2026

Le 04 juin 2026
Le 05 juin 2026