ADF

Atelier facettes : le collage

Formateur(s) : Drs. Jean-Christophe PARIS, Bilal BALBZIOUI, Jessy BOURGUIA.
Durée : 1 heure
Format : Présentiel
Lieu : Palais des Congrès – Paris – stand 1M10

Ce produit est actuellement en rupture et indisponible.

Réussir le collage de vos facettes pour un résultat pérenne !

Cet atelier vous est proposé en partenariat avec Henry Schein

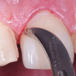
Le collage d’une facette est codifié, et quand il est réussi, c’est certainement la méthode la plus pérenne de toute la dentisterie restauratrice.

● Pourquoi doit-on s’efforcer de coller dans l’émail?
● Quels adhésifs peut-on employer pour des résultats durables ?
● Comment une facette doit-elle être préparée avant l’assemblage ?
● A quels matériaux d’assemblage peut-on faire confiance pour pérenniser le résultat ?

Durant cet atelier, vous collerez une facette sur fantom, dans les conditions cliniques du cabinet : préparation de la dent, de la facette et assemblage. Vous aurez à votre disposition etching, spray de rinçage, aspiration et sableuse.

Infos pratiques

Lieu de la formation : Palais des Congrès – 2 place de la Porte-Maillot – 75017 Paris – France

Ces ateliers vous sont proposés en partenariat avec Henry Schein. Ils auront lieu sur le stand 1M10 lors du congrès de l’ADF 2025.

Les places sont limitées, aussi vous devez impérativement vous inscrire pour réserver votre place !

Retrouvez l'ensemble des ateliers sur les facettes

Demande de devis pour la prise en charge OPCO

Nom(s) du ou des participants(Nécessaire)