ADF

Atelier facettes : la préparation

Formateur(s) : Drs. Jean-Christophe PARIS, Bilal BALBZIOUI, Jessy BOURGUIA.
Durée : 1 heure
Format : Présentiel
Lieu : Palais des Congrès – Paris – stand 1M10

Ce produit est actuellement en rupture et indisponible.

Une heure pour apprendre à préparer vos facettes a minima !

Cet atelier vous est proposé en partenariat avec Henry Schein

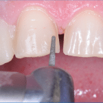
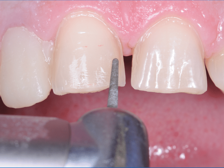
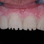
Les préparations de facettes obéissent à des règles très différentes de celles utilisées pour les couronnes.

● Pourquoi existe-t-il des types de préparations différentes ?
● Comment utiliser ces différentes préparations en fonction des indications cliniques ?
● Pourquoi le toboggan est-il indispensable à la bonne réussite du résultat final ?
● Quelles fraises utiliser pour réaliser une bonne calibration ?

Lors de cet atelier, vous préparerez une incisive centrale sur fantom, avec des
instruments rotatifs et ultrasonores sous spray, suivant la technique du butt-margin, la plus souvent employée.

Infos pratiques

Lieu de la formation : Palais des Congrès – 2 place de la Porte-Maillot – 75017 Paris – France

Ces ateliers vous sont proposés en partenariat avec Henry Schein. Ils auront lieu sur le stand 1M10 lors du congrès de l’ADF 2025.

Les places sont limitées, aussi vous devez impérativement vous inscrire pour réserver votre place !

Retrouvez l'ensemble des ateliers sur les facettes

Demande de devis pour la prise en charge OPCO

Nom(s) du ou des participants(Nécessaire)